Trajectoires développementales & psychiatrie (INSERM U1299)

En se basant sur la modélisation mathématique et de grandes bases de données, l'équipe étudie les caractéristiques multimodales des troubles psychiatriques ayant une composante neuro-développementale.

Référents scientifiques

Coordinateur : Eric Artiges

Responsables scientifiques

  • Eric Artiges (Directeur)
  • Ana-Riva Baggio-Saitovitch
  • Nathalie Boddaert
  • Lise Haddouk
  • Jean-Luc Martinot
  • Mohamed Nadif
  • Marie-Laure Paillere
  • Alain Trouvé
  • Monica Zilbovicius

Présentation de la thématique

Comment les changements cérébraux, psychologiques, cognitifs et sensorimoteurs au cours de l'adolescence permettent-ils de prédire la vulnérabilité, ou la résilience, aux troubles émotionnels et aux comportements à risque ? Pour le savoir, cette équipe de recherche expérimentée se concentre sur les caractéristiques multimodales des troubles psychiatriques ayant une composante neuro-développementale. Elle étudie des cohortes de jeunes au développement typique, des individus à risque de dépression, d’anxiété ou de dépendance, ou ayant des anomalies du cerveau social dans les troubles autistiques.

Ses thématiques de recherche se situent à l’interface entre recherche en psychiatrie clinique et recherche en mathématiques appliquées. Elle modélise les données longitudinales acquises de l’enfance à l’âge adulte pour caractériser les trajectoires-types du développement cérébral et psychologique. Elle recherche des facteurs prédictifs de troubles psychiatriques, en comparant les mesures de patients examinés dans des services hospitaliers avec les trajectoires du développement psychologique et cérébral en population générale.

 

Mots clés

Santé mentale ; Psychiatrie ; Modélisation ; Apprentissage Machine ; IRM ; Cohortes ; Adolescence ; Développement ; Troubles émotionnels ; Système de Récompense ; Dépression ; Addictions.

Faits marquants

  • L’équipe a utilisé l’apprentissage machine pour étudier l’anxiété future des adolescents (Molecular Psychiatry, 2023). Ces résultats ont été mis en exergue par le Haut Conseil de la Santé Publique dans son rapport sur la stratégie nationale de santé 2023-2033 (édition de mars 2023) car il met en lumière le potentiel de l’intelligence artificielle, qui « pourrait accompagner les professionnels de santé et les particuliers dans d’autres secteurs que le soin ». De nombreuses diffusions dans les médias spécialisés et grand public ont été réalisées à partir de ce travail.
  • Les résultats en imagerie cérébrale chez les adolescents européens publiés dans Neuroimage, 2019 et Nature Neuroscience, 2023 ont contribué à la logique d’abaissement de l’âge de protection des adolescents dans une loi adoptée par le Parlement (dispositions renforçant la protection des mineurs contre les violences sexuelles), suivie d’une campagne de prévention lancée par le gouvernement.
  • L’équipe a contribué à la production de recommandations européennes sur les pratiques numériques des psychologues, avec le Comité Ethique de l’EFPA (Fédération Européenne des Associations de Psychologues), publiées en avril 2023 : « Psychological services via internet and other digital means : recommendations for ethical practice ».
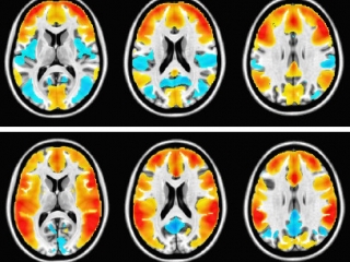
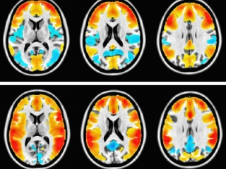
  • L'équipe a utilisé la neuroimagerie fonctionnelle pour étudier l'activité cérébrale spontanée de patients adultes dont le premier épisode dépressif s'était produit pendant leur adolescence. Grâce à l'analyse dynamique d'images IRM de l’activité cérébrale spontanée, cette recherche publiée en 2021 dans la revue Biological Psychiatry: Cognitive Neuroscience and Neuroimaging a détecté une inflexibilité dynamique entre le réseau affectif limbique et les réseaux cognitifs préfrontaux. Grâce à des approches mathématiques qui tiennent compte des propriétés statistiques et dynamiques du fonctionnement cérébral, l'équipe a pu caractériser les réseaux fonctionnels intervenant dans la rumination de pensées, pratique humaine purement subjective, fréquente chez les jeunes, mais souvent négligée. Il a été possible de montrer que ces "réseaux des ruminations" sont impliqués dans l'apparition de symptômes "d'internalisation" (symptômes d'anxiété, de dépression) ou "d'externalisation" (impulsivité, agitation, addiction...). L'équipe a ainsi pu conclure que les ruminations sont intéressantes pour des recherches préventives en santé mentale.

Applications

  • Prévention des comportements à risque chez les adolescents : La médiation de la transition vers le trouble dépressif majeur implique des régions cérébrales circonscrites au début de l'adolescence. Le laboratoire a été le premier à démontrer des variations cérébrales dans les régions frontales ventromédianes, le striatum et le cingulum, et les faisceaux de substance blanche adjacents, en utilisant un modèle longitudinal chez des adolescents à risque. En outre, il a signalé que ces changements pourraient avoir une valeur prédictive chez les individus, ce qui devrait favoriser de nouveaux modèles d'intervention pour une prévention ciblée. Ces informations mettent en évidence la vulnérabilité des systèmes neuro-affectifs chez les jeunes adolescents et ont justifié la stratification de l'âge de protection à l'adolescence dans une loi adoptée par le Parlement français. Ces résultats ont également été présentés lors d'une audition au Sénat, en 2019, portant sur la protection des adolescents, dans le cadre de la révision des lois bioéthiques françaises.
  • Addictions à l'adolescence : Il y a très peu d’information sur les jeunes qui parviennent à arrêter une addiction. L'équipe a donc cherché des modifications du cerveau associées à l'arrêt spontané de la polyconsommation de substances. Pour cela, elle a étudié des adolescents européens avec des questionnaires et des IRM du cerveau pendant 5 ans. Chez ceux qui ont stoppé spontanément leur consommation excessive, des variations cérébrales ont été détectées, notamment du gyrus cingulaire, une région clé du cerveau impliquée dans le « circuit de la récompense ». En outre, les mesures du gyrus cingulaire avaient une valeur prédictive individuelle selon une approche par apprentissage automatique. Ces résultats publiés dans European Neuropsychopharmacology peuvent contribuer à de nouveaux modèles de réhabilitation pour les plus à risque, en synergie avec d’autres approches.
  • Constitution d’une base de données exceptionnelle sur les adolescents à risque : L'équipe a constitué la première cohorte européenne de 2 000 adolescents suivis pendant 10 ans avec des partenaires étrangers. Elle a également importé les données d’une cohorte américaine complémentaire de 11000 enfants suivis de 9 à 16 ans. Ces ressources multidisciplinaires seront combinées aux évaluations des jeunes patients.

Interactions avec d'autres thématiques du centre Borelli